Científicos del Consejo Nacional de Investigaciones Científicas y Técnicas (CONICET) desarrollaron un test llamado FluoTB que, a diferencia de los métodos convencionales, analiza muestras sin necesidad de cultivo para la detección de la tuberculosis.

Además, determina resistencia del agente infeccioso a antibióticos, es útil para el seguimiento de los tratamientos y constituye una herramienta promisoria para la industria farmacéutica en la evaluación rápida de nuevas drogas antituberculosas.

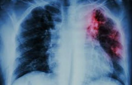
Desde el CONICET explican que la tuberculosis es una enfermedad infecciosa que se transmite de persona a persona a través del aire, cuando alguien enfermo tose o estornuda. De acuerdo con cifras oficiales en el mundo, cada día, cerca de 3.500 personas pierden la vida por esta patología y cerca de 30 mil se contagian de esta enfermedad prevenible y curable. En la Argentina, en 2024 se notificaron alrededor de 16.600 casos de tuberculosis, de los cuales aproximadamente el 84 % correspondieron a personas en edad productiva (20 a 44 años).

Actualmente, hay un tratamiento efectivo que consiste en la toma de una combinación de antibióticos por un período de 6 a 24 meses. Sin embargo, uno de los principales desafíos para frenar la tuberculosis es el diagnóstico. A diferencia de otras bacterias, Mycobacterium tuberculosis (agente infeccioso de la tuberculosis) crece muy lento, por lo que los métodos tradicionales para su detección demoran de seis a ocho semanas y si bien hay tecnologías más rápidas son muy caras y difíciles de implementar.

Ahora, el equipo de investigación liderado por Mariana Piuri, logró desarrollar el kit “FluoTB”, una alternativa innovadora, rápida y accesible de diagnóstico de la tuberculosis. Por este proyecto, la científica fue distinguida con la 2º Mención del “Premio César Milstein 2025 a la investigación en Biotecnología con impacto en la Salud”, organizado por el CONICET y la Fundación Pablo Cassará, a través del Instituto de Ciencia y Tecnología Dr. César Milstein (ICT Milstein, CONICET-Fundación Pablo Cassará).

“El kit FluoTB arroja resultados de manera rápida en tres a cinco días lo que propicia que pueda aplicarse un tratamiento de manera oportuna, también establece si existe resistencia a algún antibiótico, y además es una herramienta que será útil para monitorear el éxito del tratamiento, brindando información funcional clave sobre la respuesta terapéutica”, indica Piuri, directora del Laboratorio de Bacteriófagos y aplicaciones biotecnológicas en el Instituto de Química Biológica de la Facultad de Ciencias Exactas y Naturales de la UBA (IQUIBICEN, CONICET-UBA). Y agrega: “Nuestro desarrollo apunta a cubrir un vacío en los sistemas de salud ofreciendo una herramienta útil, accesible y de fácil implementación para centros de microscopía con infraestructura básica”.

Cómo funciona el test FluoTB

El kit está dotado de un bacteriófago, es decir de un tipo de virus que cuando entra en contacto con la bacteria de la tuberculosis, presente en la muestra de esputo del paciente, expresa una proteína fluorescente lo que permite una lectura directa mediante microscopía de fluorescencia. A futuro plantean automatizar la detección, empleando un microscopio de bajo costo y un programa que por IA pueda contabilizar bacterias fluorescentes en la muestra del paciente reduciendo los tiempos de lectura y la subjetividad del operador.

FluoTB ya fue validado en más de 300 muestras clínicas del Hospital Muñiz demostrando “una excelente performance en términos de especificidad y sensibilidad”, afirma la investigadora del CONICET. 

NA