Curiosidades

Fue al hospital por un dolor de espalda y descubrieron que tenía tres riñones

Se registraorn 100 casos documentados en los últimos 150 años.
Por Telefe Noticias

Fue al hospital por un dolor de espalda y descubrieron que tenía tres riñones | Curiosidades
Curiosidades: Fue al hospital por un dolor de espalda y descubrieron que tenía tres riñones

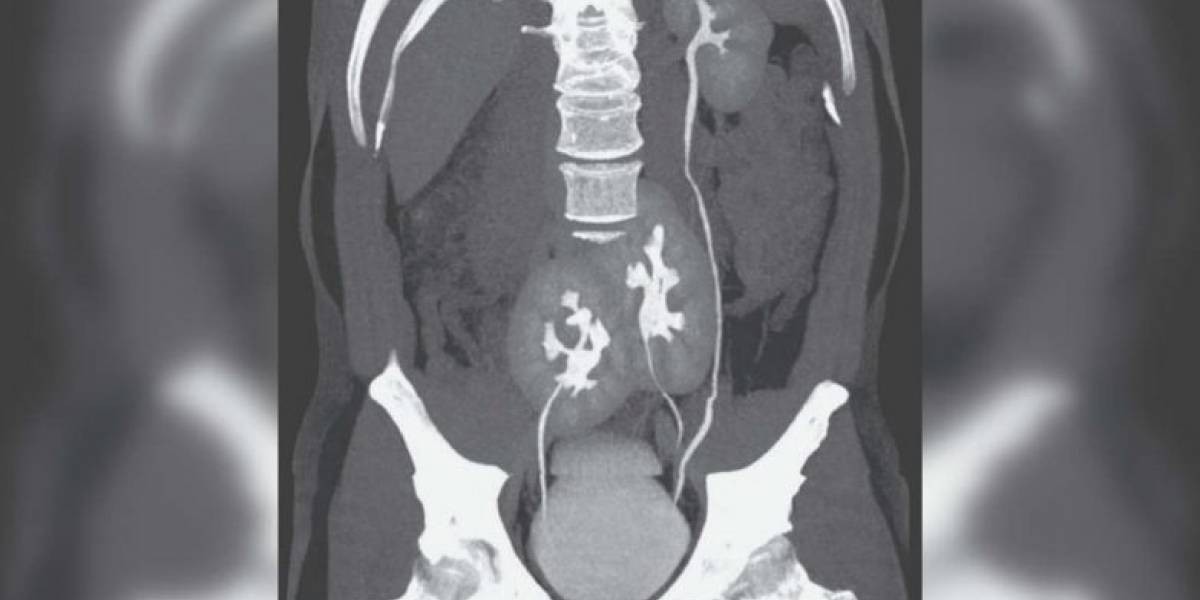
Un hombre acudió al médico por tener dolor de espalda y lo que descubrió fue documentado por una revista médica. Los médicos encontraron que tiene tres riñones.

El caso fue documentado por la revista The New England Journal of Medicine.

Las sospechas del equipo médico cuando el hombre contó los síntomas, apuntaban a una hernia discal, en la columna vertebral. Los médicos le pidieron una Tomografía Axial Computarizada (TAC), e hicieron el hallazgo.

Los médicos determinaron que la función renal del hombre es totalmente normal. "Tiene un riñón normal en el lado izquierdo y otro atrofiado y doble en el lado derecho", agregó el informe de la revista especializada.

Los médicos consideran que se trató de una malformación ocurrida durante el proceso embrionario, y no había sido descubierta porque los riñones, aunque son tres, trabajan perfectamente.

La condición es llamada riñón supernumerario. Es tan infrecuente la condición que se calcula que se han registrado 100 casos documentados en los últimos 150 años. En 1915 se escribió un informe calificándola como "una de las patologías más extrañas".