Internacionales

Fue al hospital por un dolor de cabeza y le descubrieron una plaga de larvas en el cerebro

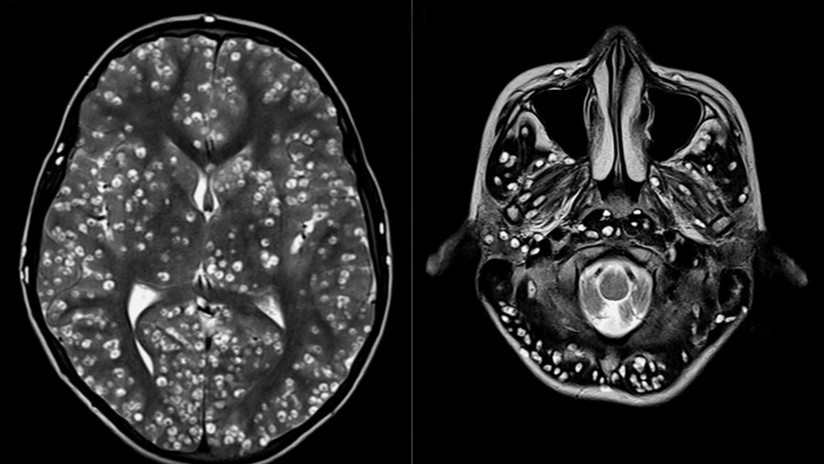
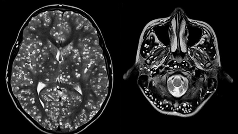
Tras practicarle una resonancia magnética y exámenes de ultrasonido, los especialistas encontraron que la corteza cerebral y el tronco encefálico del paciente estaban llenos de larvas.
Por Telefe Noticias

Fue al hospital por un dolor de cabeza y le descubrieron una plaga de larvas en el cerebro | Internacionales
Internacionales: Fue al hospital por un dolor de cabeza y le descubrieron una plaga de larvas en el cerebro

Médicos indios descubrieron el cerebro de un joven de 18 años plagado de quistes causados por un parásito porcino. El muchacho, al que los doctores no pudieron salvarle la vida, acudió al servicio de urgencias de la ciudad de Faridabad, en el estado de Haryana, aquejado de fuertes dolores de cabeza y convulsiones.

Tras practicarle una resonancia magnética y exámenes de ultrasonido, los especialistas encontraron que la corteza cerebral y el tronco encefálico del paciente estaban llenos de larvas.

El muchacho padecía neurocisticercosis, una enfermedad parasitaria originada cuando una persona ingiere huevos microscópicos de una tenia porcina y que afecta al tejido muscular. De ahí los parásitos se propagan al cerebro. Los personas infectadas pueden pasar mucho tiempo sin presentar síntomas.

A pesar de que esta afección se puede tratar con medicamentos, el elevado número de quistes no permitió al chico que se le suministraran los fármacos antiparasitarios necesarios.

El paciente fue tratado con corticoides estándares y medicamentos para evitar que se le manifestaran ataques epilépticos. Sin embargo, no se pudo revertir la situación y murió dos semanas después.