Internacionales

Médicos descubrieron que un hombre eyaculó por el ano durante más de dos años

De acuerdo con la publicación, el hombre llegó a un centro médico tras cinco días de dolor testicular.
Por Telefe Noticias

Médicos descubrieron que un hombre eyaculó por el ano durante más de dos años | Internacionales
Internacionales: Médicos descubrieron que un hombre eyaculó por el ano durante más de dos años

Se conoció en las publicaciones especializadas la historia de un hombre que eyaculó por el ano durante dos años.

El estudio fue publicada en un artículo de la revista The Cureus titulado A Curious Case of Rectal Ejaculation (“Un curioso caso de eyaculación rectal”). El texto revela detalles de la larga lista de problemas que, sin saberlo, acarreaba el paciente.

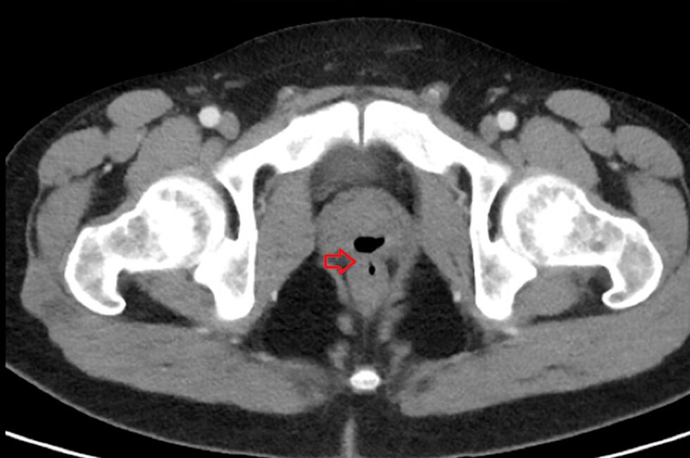
De acuerdo con la publicación, el hombre llegó a un centro médico tras cinco días de dolor testicular y “una cantidad considerable de espermatozoides con eyaculación por el recto durante los últimos dos años”, por lo que fue sometido a varios exámenes.

Además, el paciente de 33 años, apuntan, había padecido de una extraña condición llamada pneumaturia, que hace referencia a la expulsión de gases por la orina, en la que también había observado presencia de materia fecal.

En medio de las indagaciones al hombre que eyaculó por el ano, se conoció que 2 años atrás había estado en coma durante tres semanas debido a la intoxicación por cocaína y fenciclidina, lo que sugería la colocación de una sonda de Foley para vaciar la vejiga durante ese tiempo.

Tras los análisis, los especialistas detectaron una infección en el tracto urinario, inconvenientes en la pared rectal y una “fístula rectal-prostática”. Es decir, una lesión anormal entre la uretra y el recto, a través de la cual estaban pasando algunos líquidos y sólidos. Fue tratado con medicamentos y le realizaron una intervención quirúrgica.

Apuntaron que, aunque no hay literatura al respecto, la sonda Foley, que suele estar hecha de plástico o caucho y es efectiva para la salud, pudo haber causado la lesión. Pidieron a los médicos “tener en cuenta otros riesgos potenciales” y revisión por parte de los proveedores.