Actualidad
Política
Economía
Política
Deportes
Mundial 2026
Selección Argentina
Deportes
Internacionales
Videos
TFN Digital
Mejores videos
Más info
Todo en Telefe Noticias
Espectáculos
Clima y medio ambiente
Informes especiales
Dónde estás
Te presento
Pequeños grandes sueños
Sr Juez
He vivido
Mundial de clubes
Herederos
Marcas
Elecciones 2023
Así se hace
Vivo
Javier Milei
Tensión en Medio Oriente
Congreso
Mundial 2026
Manuel Adorni
Curiosidades
Video: revelan qué tan rápido se puede propagar el coronavirus en un restaurante
Video viral: El cruce cara a cara de cuatro gatos callejeros y un perro
Coronavirus: el método de un café alemán para volver a atender a los clientes
El artista que recrea obras maestras con Playmobil: "Son un lenguaje universal"
Video de TikTok: llamó su amante y se olvidó que tenía el celular conectado al auto
A los 90 años, es récord Guinness como "youtuber gamer"
La historia detrás de la foto de la "bebé gigante" de Marie Kondo
La sorpresa de los policías que quisieron detener a un pescador por violar la cuarentena
El extraño caracol de fuego que se volvió viral en las redes sociales
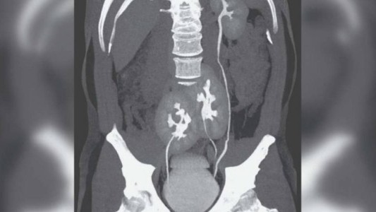
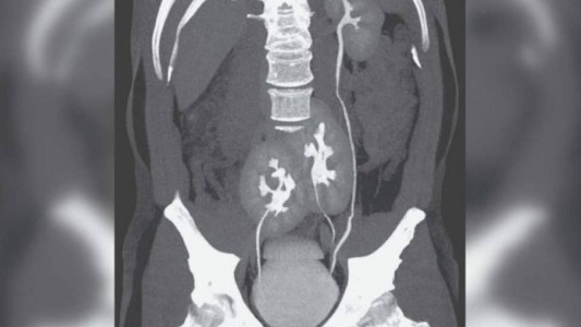
Fue al hospital por un dolor de espalda y descubrieron que tenía tres riñones
Fotografían por primera vez en el país un loro choroy, una especie muy inteligente
Se hizo viral un video de una mujer que se masturba en camas y sofás de Ikea a plena luz del día
Insólito: un toro se rascó contra un poste luz y dejó sin electricidad a 800 hogares
Video: una mantis religiosa ataca a un "avispón asesino" y le devora su cabeza
Parto histórico: nacieron trillizos idénticos en Gales
¿Quién heredaría la Tierra, si los humanos se extinguen?
Video: la broma cruel que le hicieron a un profesor en una clase por Zoom
El hombre más viejo del mundo cumple 116 años en plena pandemia
Video: apareció un oso y se colgó del balcón de un segundo piso
El ingenioso método que encontró una maestra para poder abrazar a sus alumnos
Se fue a bañar en medio de su clase virtual y lo expulsaron
Estaba haciendo una videollamada con su esposa, apareció su amante y hubo escándalo
Alarma por las arañas lobo del Ártico: son cada vez más grandes y se volvieron caníbales
Los Simpson también predijeron la llegada a Estados Unidos de los "avispones asesinos"
Video: la extraña serpiente de dos cabezas que pelean entre sí por la comida
La foto viral de la chica que hace delivery arriba de un caballo blanco
Video: nacieron dos cachorros de la raza más pequeña de gato salvaje
Intentó quedar embarazada durante 40 años hasta que tuvo mellizos a los 68
Video: el youtuber que se dejó picar por el "avispón asesino" que invadió Estados Unidos
Un video hace "hablar" a las estatuas de Florencia: "Los extrañamos"
« Anterior
1
…
26
27
28
29
30
31
32
33
34
35
…
361
Siguiente »