Internacionales

Le diagnosticaron tuberculosis y meses después confesó que el problema era que se había tragado un preservativo

Entonces, hablaron con la paciente y terminaron descubriendo que se lo tragó mientras practicaba sexo oral con su marido.
Por Telefe Noticias

Le diagnosticaron tuberculosis y meses después confesó que el problema era que se había tragado un preservativo | Internacionales
Internacionales: Le diagnosticaron tuberculosis y meses después confesó que el problema era que se había tragado un preservativo

JUna joven de 27 años, que tuvo vergüenza de contar lo que en realidad le había pasado, ha tenido que afrontar el hecho de entrar en la historia de la medicina como un caso único que ha quedado registrado en el National Library of Medicine.

La mujer, que es maestra de escuela, acudió al médico tras cuatro meses teniendo tos, fiebre y mucosidad espesa.

Le recetaron antibióticos y un tratamiento contra la tuberculosis, pero, dos meses después, regresó porque no había mejorado nada y las medicinas no habían tenido ningún efecto.

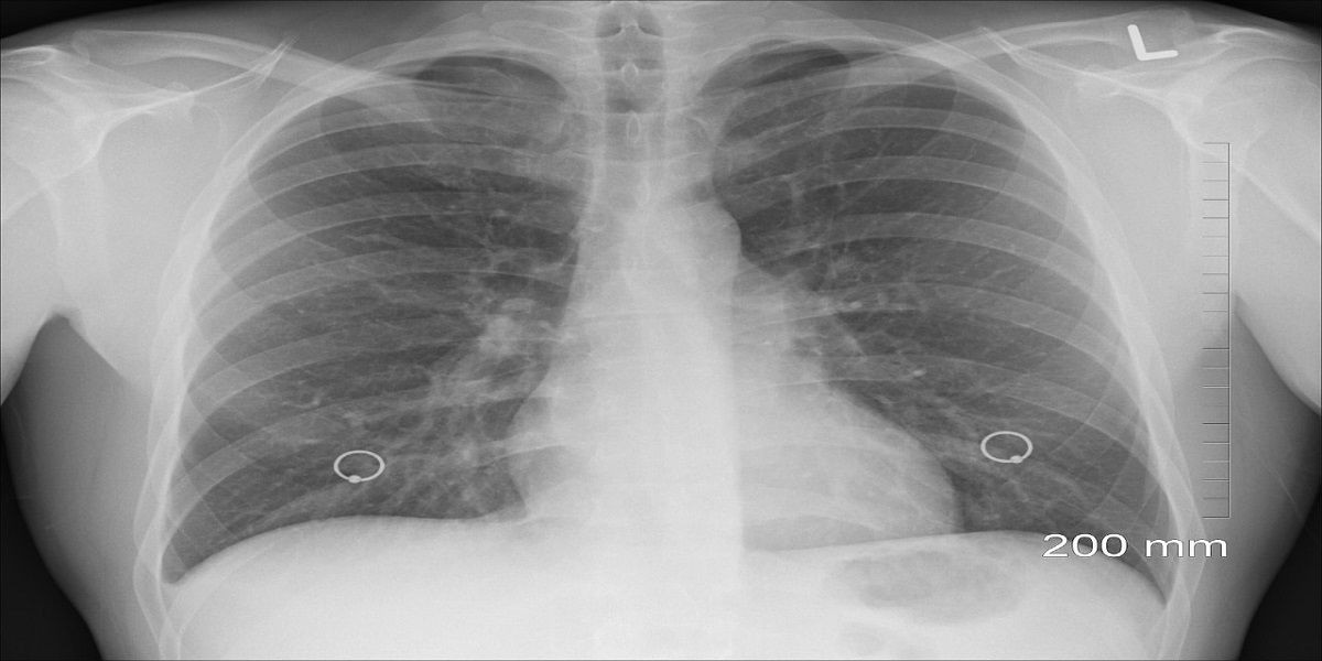
"El esputo (secreción que se produce en los pulmones) de la mujer se examinó para detectar tuberculosis y resultó negativo. Sin embargo, cuando le escanearon el pecho, encontraron una lesión en el lóbulo superior derecho de sus pulmones. Tras una investigación adicional, parecía ser 'una estructura en forma de bolsa invertida' sentada 'en el bronquio'", indica el estudio publicado.

En un primer momento, pensaron que era tuberculosis, una bacteria que casi siempre afecta a los pulmones, pero cuando retiraron esta "bolsa", que estaba casi descompuesta, se dieron cuenta de que se trataba de otra cosa: un preservativo.

Entonces, hablaron con la paciente y terminaron descubriendo que se lo tragó mientras practicaba sexo oral con su marido.

Los médicos explican que el diagnóstico correcto se retrasó por diferentes motivos: la vergüenza de la mujer, que no contó lo sucedido antes; su edad, pues la ingesta de cuerpos extraños es más propia de accidentes en edades menores; y, sencillamente, porque un condón no entraba entre las opciones de los médicos como causa de una lesión en los pulmones. Aun así, este caso será recordado para siempre, sobre todo por la paciente, después de que haya quedado registrado.