Le sacaron del ojo un gusano "come cerebros"

"Veo que algo se mueve de izquierda a derecha", dijo el hombre al realizar una consulta médica.


15 feb, 2018 10:10
Le sacaron del ojo un gusano "come cerebros" | Internacionales
Internacionales: Le sacaron del ojo un gusano "come cerebros"

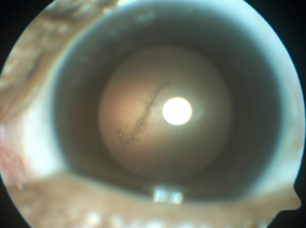
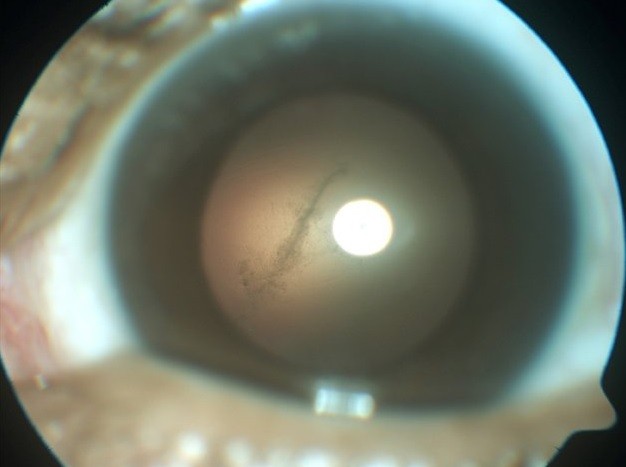
Sam Cordero debió ser operado de urgencia después de que le descubrieran que tenía un gusano en su ojo izquierdo, en la ciudad de Tampa, en Estados Unidos.

"Veo un pequeño punto negro y sólo en el ojo izquierdo. Veo que algo se mueve de izquierda a derecha. Cuando sale el sol, me molesta mucho", dijo el hombre al realizar una consulta médica.

Luego de los estudios respectivos, los profesionales encontraron que el paciente tenía el gusano taenia solium, más comúnmente llamado tenia de cerdo.

Se trata de un parásito de tipo lombriz solitaria que entra en el cuerpo de los humanos a través del consumo e carne de cerdo cruda o por el contacto con materia fecal.

En algunos casos, el parásito viaja por el torrente sanguíneo a través de los intestinos de la persona afectada y acaba incrustrándose en el cerebro o en el globo ocular de las personas afectadas, según RT.

De acuerdo con ese medio, los médicos pudieron extraerle a tiempo el parásito ya que, si el gusano hubiera muerto, la inflamación podría haber provocado que Cordero se quedara ciego de ese ojo.

En el caso de que la tenia no muriera, podría haberse reproducido, con la consiguiente posibilidad de que sus larvas se instalaran en el cerebro y lo devoraran lentamente.

Según el médico que trató a Cordero, hasta el momento sólo se registraron 20 casos similares en todo el mundo.

Estados Unidos: extrajeron 14 gusanos del ojo de una mujer

Singapur: el paciente que se sorprendió al ver la lombriz parásito que sacaron de su intestino

Fue al médico por un dolor de panza y descubrieron que tenía un gusano de un metro y medio en el estómago