Internacionales
Una nena de dos años se comió una pila de litio y estuvo a punto de morir
Una niña de dos años estuvo a punto de morir después de haberse tragado una diminuta batería que le perforó la garganta. Elsie-Rose Duffy fue llevada a un hospital en Barnsley, en Yorkshire, Inglaterra, donde detectaron el objeto durante una revisión de rutina.
La pequeña Elsie-Rose Duffy sufrió dolores de estómago durante meses. Por sus padecimientos era llevada constantemente al médico por su madre Kirsty Duffy, pero cuando los malestares se complicaron solicitó una consulta en el Hospital de Niños Sheffield.
Fue durante esta visita programada al centro médico infantil Sheffield que los especialistas detectaron el objeto del tamaño de un botón alojado en la garganta de la menor de edad.
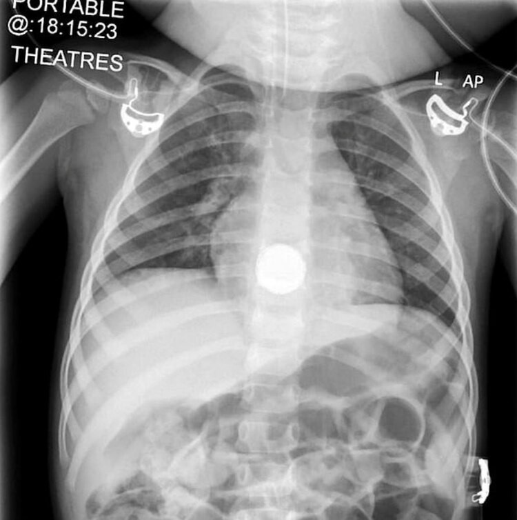
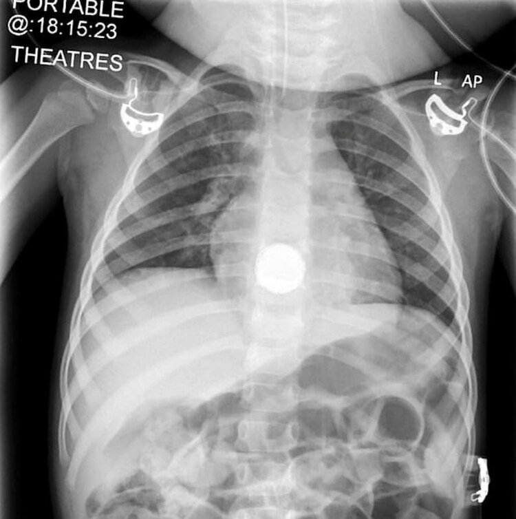
Los médicos vieron en una radiografía la batería de litio que la niña ingirió tan sólo 24 horas antes de la revisión médica, pero que ya le provocaba serios daños en su organismo. Afortunadamente la vieron antes de que la pila le provocara la muerte.

Los expertos explicaron que la electricidad de pila se mezcló con la saliva, lo que produjo el ácido que perforó la garganta y algunos dolores intensos.
"Los cirujanos me dijeron que sus posibilidades de supervivencia eran como caminar por una autopista sin ser atropellada por un automóvil o camión. No me lo podía creer", señaló la madre de Elsie-Rose, Kirsty Duffy.
"Me dijeron que le diera 'un último beso' y, aunque estaba devastada y en estado de shock en ese momento, hice todo lo posible para ser fuerte por ella", agregó la madre de la pequeña de dos años.
El cirujano pediátrico intervino de urgencia a Elsie, quien logró superar el diagnóstico fatal: "tuvo suerte de sobrevivir a algo que no debería haber vivido", reiteró Kirsty que recordó con pesar que pudo perder a su hija.
Kirsty Duffy sospechó que Elsie-Rose obtuvo la batería de uno de los juguetes de cualquiera de sus tres hermanos: Bradley Bird, de 12 años; Amelia, de siete, y Alissia, de seis.
"Ella no es el tipo de niña que se mete los objetos en la boca, por lo que no sabía lo que había sucedido", señaló.
Después de que los médicos retiraron la batería con éxito, la menor fue sometida a un tratamiento para sanar su garganta y sólo come alimentos blandos.
"Recomendamos que cualquier batería de botón esté asegurada de forma segura dentro del juguete o artículo o fuera del alcance de los niños", dijo.
"Si sospecha que un niño se ha tragado una pila de botón, debe buscar atención médica inmediata, ya sea en un departamento de emergencias local o en un hospital pediátrico para que pueda ser removida", sentenció Mike Thomson, el pediatra especializado en gastroenterología de la Fundación NHS de Sheffield Children's Trust.
TE PUEDE INTERESAR:
- Se le cayó el celular al agua mientras se bañaba y murió electrocutada